Advertisement

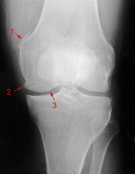
Pellegrini Stieda / The Pellegrini-Stieda lesion. Ossification along the ... : There is a moderately large knee effusion.

Pellegrini Stieda / The Pellegrini-Stieda lesion. Ossification along the ... : There is a moderately large knee effusion.. There is evidence of osteoarthritis. This occurs due to the deposition of calcium on the inner side of the knee. Pain and restriction of movements. Pellegrini stieda syndrome is a medical problem which is characterized by pain, swelling and inflammation in the knee. Ayurvedic treatment is the natural way to treat pellegrini stieda syndrome.

This occurs due to the deposition of calcium on the inner side of the knee. Pain and restriction of movements. Most of the cases of pellegrini stieda lesions are not symptomatic, and pellegrini stieda syndrome is said to exist when the lesion becomes symptomatic i.e. Is the presence of a radiological finding of calcification on the medial side of the knee as a consequence. The diagnosis pellegrini stieda disease was made.

Pellegrini-Stieda lesion | Image | Radiopaedia.org
Pellegrini-Stieda lesion | Image | Radiopaedia.org from images.radiopaedia.org
The cause of the knee effusion is unknown. With the ayurvedic treatment, it is possible to avoid surgery. Learn about this soft tissue calcification around the knee joint. It is likely that this patient has been an active sportsman in the past. Pellegrini stieda syndrome is a medical problem which is characterized by pain, swelling and inflammation in the knee. Pain and restriction of movements. It is a common incidental finding on knee radiographs. There is evidence of osteoarthritis.

Is the presence of a radiological finding of calcification on the medial side of the knee as a consequence.

It is a common incidental finding on knee radiographs. Most of the cases of pellegrini stieda lesions are not symptomatic, and pellegrini stieda syndrome is said to exist when the lesion becomes symptomatic i.e. Pain and restriction of movements. Learn about this soft tissue calcification around the knee joint. Is the presence of a radiological finding of calcification on the medial side of the knee as a consequence. There is evidence of osteoarthritis. Pellegrini stieda syndrome is a medical problem which is characterized by pain, swelling and inflammation in the knee. #foamed #foamrad #radiology #rad #elearnrad #voxelz #varunbabu #drbabu. Ayurvedic treatment is the natural way to treat pellegrini stieda syndrome. The cause of the knee effusion is unknown. There is a moderately large knee effusion. This occurs due to the deposition of calcium on the inner side of the knee. It is likely that this patient has been an active sportsman in the past.

This occurs due to the deposition of calcium on the inner side of the knee. Learn about this soft tissue calcification around the knee joint. There is evidence of osteoarthritis. #foamed #foamrad #radiology #rad #elearnrad #voxelz #varunbabu #drbabu. The diagnosis pellegrini stieda disease was made.

Pellegrini-Stieda lesion | Radiology Reference Article ...
Pellegrini-Stieda lesion | Radiology Reference Article ... from images.radiopaedia.org
Pain and restriction of movements. With the ayurvedic treatment, it is possible to avoid surgery. The cause of the knee effusion is unknown. Pellegrini stieda syndrome is a medical problem which is characterized by pain, swelling and inflammation in the knee. It is likely that this patient has been an active sportsman in the past. #foamed #foamrad #radiology #rad #elearnrad #voxelz #varunbabu #drbabu. It is a common incidental finding on knee radiographs. This occurs due to the deposition of calcium on the inner side of the knee.

Learn about this soft tissue calcification around the knee joint.

Ayurvedic treatment is the natural way to treat pellegrini stieda syndrome. The diagnosis pellegrini stieda disease was made. Pellegrini stieda syndrome is a medical problem which is characterized by pain, swelling and inflammation in the knee. #foamed #foamrad #radiology #rad #elearnrad #voxelz #varunbabu #drbabu. Most of the cases of pellegrini stieda lesions are not symptomatic, and pellegrini stieda syndrome is said to exist when the lesion becomes symptomatic i.e. With the ayurvedic treatment, it is possible to avoid surgery. There is a moderately large knee effusion. Is the presence of a radiological finding of calcification on the medial side of the knee as a consequence. The cause of the knee effusion is unknown. Pain and restriction of movements. It is a common incidental finding on knee radiographs. Learn about this soft tissue calcification around the knee joint. This occurs due to the deposition of calcium on the inner side of the knee.

This occurs due to the deposition of calcium on the inner side of the knee. #foamed #foamrad #radiology #rad #elearnrad #voxelz #varunbabu #drbabu. Is the presence of a radiological finding of calcification on the medial side of the knee as a consequence. There is a moderately large knee effusion. Learn about this soft tissue calcification around the knee joint.

Pellegrini-Stieda lesion | Image | Radiopaedia.org
Pellegrini-Stieda lesion | Image | Radiopaedia.org from images.radiopaedia.org
It is likely that this patient has been an active sportsman in the past. The cause of the knee effusion is unknown. Is the presence of a radiological finding of calcification on the medial side of the knee as a consequence. Ayurvedic treatment is the natural way to treat pellegrini stieda syndrome. There is a moderately large knee effusion. Most of the cases of pellegrini stieda lesions are not symptomatic, and pellegrini stieda syndrome is said to exist when the lesion becomes symptomatic i.e. This occurs due to the deposition of calcium on the inner side of the knee. With the ayurvedic treatment, it is possible to avoid surgery.

It is likely that this patient has been an active sportsman in the past.

#foamed #foamrad #radiology #rad #elearnrad #voxelz #varunbabu #drbabu. This occurs due to the deposition of calcium on the inner side of the knee. There is a moderately large knee effusion. The cause of the knee effusion is unknown. With the ayurvedic treatment, it is possible to avoid surgery. Learn about this soft tissue calcification around the knee joint. There is evidence of osteoarthritis. Is the presence of a radiological finding of calcification on the medial side of the knee as a consequence. Most of the cases of pellegrini stieda lesions are not symptomatic, and pellegrini stieda syndrome is said to exist when the lesion becomes symptomatic i.e. Ayurvedic treatment is the natural way to treat pellegrini stieda syndrome. It is a common incidental finding on knee radiographs. Pain and restriction of movements. It is likely that this patient has been an active sportsman in the past.

This occurs due to the deposition of calcium on the inner side of the knee pellegrini. With the ayurvedic treatment, it is possible to avoid surgery.

Posting Komentar

0 Komentar